Associação Portuguesa de Investigação em Cancro
Clinical and histopathological features of immune checkpoint inhibitor-induced lung toxicity
Clinical and histopathological features of immune checkpoint inhibitor-induced lung toxicity

With the approval of the first Immune-Checkpoint Inhibitor (ICI), a new category of side effects has emerged - immune-related adverse events. ICI-related pneumonitis is a rare, but potentially fatal side effect, with an incidence of 3–10% in different trials involving ICI, with greater incidence in patients with non-small cell lung cancer (NSCLC). This is the largest histopathologic study to date (n = 16) characterizing non-neoplastic lung tissue from ICI-treated patients, in mono- or polytherapy regimens.
Ines Rolim1, Antonio Lopez-Beltran1, Joana IP2, Beatriz Nunes3, Ricardo Coelho4, Marcos Pantarotto5, Nuno Gil5, Carol Farver6
1. Anatomic Pathology, Champalimaud Foundation, Av. Brasília, 1400-038, Lisbon, Portugal.
2. Radiology, Champalimaud Foundation, Lisbon, Portugal.
3. Radiation Oncology, Champalimaud Foundation, Lisbon, Portugal.
4. Interventional Pulmonology, Champalimaud Foundation, Lisbon, Portugal.
5. Lung Unit Oncology, Champalimaud Foundation, Lisbon, Portugal.
6. Anatomic Pathology, Cleveland Clinic Foundation, Cleveland, OH, USA.
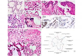
A new era in cancer therapy emerged with the arrival of immune-checkpoint inhibitors (ICIs), followed by a new cadre of immune-related adverse events that affect up to 40% of patients. Literature on the pathological features associated with these events is still limited. Therefore, to expand our knowledge of the histopathologic spectrum of pulmonary changes, we conducted a case study series analysis on 16 non-neoplastic lung samples collected during or after ICI therapy. A set of predefined histological features related to the four different "compartments" (interstitium, pneumocyte, alveolar space, and bronchial mucosa), the CD4/CD8 T cell ratio, and the SP263 PD-L1 expression in the immune cells was assessed in three study categories [ICI + radiotherapy with/without chemotherapy (RT-based), ICI + chemotherapy (CT-based), ICI-based monotherapy (ICI-mono)]. Our results identified interstitial thickening, interstitial lymphocytic infiltrate, pneumocyte desquamation, intra-alveolar fibrin, or foamy macrophages in at least half of the cases in each of the study categories; all five features were present in 4 (RT-based), 3 (CT-based) and 1 (ICI-mono) patients. Hyaline membrane was a frequent finding in CT-based (80%) and ICI-mono (100%) compared to RT-based (44%) category. Moreover, CD4/CD8 ratio was ≤ 1 for almost all cases of the three study categories. Finally, a positive SP263 PD-L1 expression was identified in 50% or more of each study category. In conclusion, our results indicate that histopathologic findings in patients treated with ICI therapy are not diagnostic and varied. Additionally, these results are in line with recent studies showing an expansion on CD8+ T cell subset in patients under ICI treatment and highlight the synergism of polytherapy.
Virchows Arch





